CALL

INSTANT QUOTE

BOOK ONLINE

TREATMENT FINDER

Smile Transformation

Porcelain Veneers

Get that bright, confident smile you deserve with Melbournes’ home of industry-leading Porcelain Veneers.

Includes FREE Teeth Whitening

Connect With Your Porcelain Veneers Specialist FREE Today

Contact us to find out more.

Porcelain Veneers Melbourne

Porcelain veneers are the perfect way to quickly and permanently transform your smile. With this technique, thin shells of ceramic porcelain are fitted over your teeth, instantly providing a seamless, natural-looking solution to stained, chipped, or mismatched teeth. Unlike braces and Invisalign, porcelain veneers in Melbourne are a quick treatment, often requiring just two or three sessions to complete.

At Cosmetic Avenue, we are experts in cosmetic dentistry and have years of experience with porcelain teeth veneers. Read on to learn more about the benefits of porcelain veneers and our services or get in touch with our friendly team to book a consultation.

What are Porcelain Veneers?

Unlike treatments such as braces and Invisalign, which alter the position of the teeth and jaw, porcelain veneers are cosmetic additions to the teeth. Using porcelain or porcelain resin, thin coverings are produced that fit seamlessly over existing teeth, creating the impression of a perfect tooth. These veneer coverings are tightly bonded to the tooth underneath, are highly durable, and have a lifespan of up to 25 years.

Porcelain veneers are meticulously crafted to match the natural translucency and shade of your teeth for a flawless, personalised result. With advancements in dental technology, veneers are now thinner and more adaptable, allowing for a wider range of patients to benefit.

Who Can Get Porcelain Veneers?

Porcelain veneers in Melbourne can be an effective treatment for a range of dental concerns, including:

  • Chipped or worn teeth
  • Gaps or spaces between the teeth
  • Stained or discoloured teeth that are difficult to otherwise treat

The process of putting in porcelain teeth veneers is relatively quick, particularly compared to alternatives such as braces. During the initial consultation, your dentist will assess your tooth’s health (sometimes involving an x-ray), determining your potential for veneer teeth. In the next session, a mould of the tooth/teeth will be taken. This is then sent away to create the veneer tooth or teeth, which can take up to a couple of weeks. In the final session, the dentist will clean and treat the tooth before affixing the veneer with dental cement.

Porcelain veneers are the ideal solution for adults with healthy teeth and gums who want to enhance the appearance of their smile. Whether you’re looking to correct imperfections or simply want a picture-perfect smile, dental veneers in Melbourne offer a fast, effective and long-lasting solution that’s tailored to you.

Read more

The Benefits of Porcelain Veneers

At Cosmetic Avenue, we see the benefits of porcelain veneers every day and are always happy to recommend it as an option. If you’re unsure if veneers are right for you, consider the following benefits:

Effective: If you have chipped, cracked, stained, or spaced teeth, dental veneers in Melbourne provide a highly effective, natural-looking treatment. They’re custom-made for each tooth, meaning they don’t just hide imperfections but transform your entire smile with precision.

Quick: Unlike other cosmetic dental treatments like braces, which can take up to several years, porcelain veneers are quick and simple. The turnaround for veneers can be as little as a few weeks after the first consultation. From consultation to completion, most patients complete their smile transformation in just two or three visits, perfect for those wanting faster results.

Durable: With regular care, porcelain teeth veneers can last decades. Porcelain is a strong and wear-resistant material, making veneers a long-term solution that stands up well to daily use, just like natural teeth.

Read more

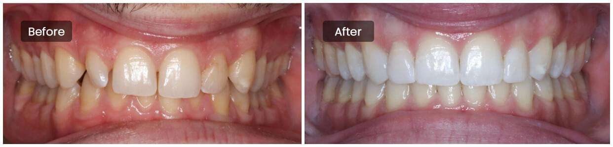
Porcelain Veneers Before and Afters

To learn more about the range of options available for porcelain veneers, or to book a consultation, please contact us.

A Tailored Plan For Your Perfect Smile

Come in for a complete digital scan of your teeth to see exactly how porcelain veneers can transform your smile. You and our highly experienced dentist will then decide what will be the most appropriate treatment for you to get that incredible smile.

Whether you’re dealing with one problem tooth or looking to completely redesign your smile, we approach each case with the same level of care and detail.

From the thickness of the veneer to the exact colour match, every decision is guided by your dental needs, facial structure, and long-term goals.

OUR PROCESS

5 Simple Steps

From the moment we connect, you’ll notice the Cosmetic Avenue difference. Your confidence and happiness are paramount, and our team will do all that we can to make you feel comfortable and assured. At your consultation, you’ll meet with your specialist to discuss your needs, the procedure and answer many of the common questions you may have before deciding to move ahead.

01

Schedule your Consultation

02

Meet with your Specialist

03

Create your Treatment Plan

04

Have your Treatment

05

Follow-Up & After Care

Caring for Your Porcelain Veneers

Looking after your porcelain teeth veneers is easy and makes all the difference in keeping your smile flawless for years to come. Stick to strong oral hygiene habits: brush twice daily using a non-abrasive toothpaste, floss regularly, and don’t skip your professional cleanings or check-ups.

Although veneers are crafted to be durable, they’re not indestructible. Avoid biting into very hard foods like ice, nuts, or bones, as this can place unnecessary stress on the porcelain. If you grind your teeth at night, consider wearing a custom night guard to protect your veneers while you sleep.

Love your morning coffee or a glass of red with dinner? Using a straw and rinsing your mouth afterward can help prevent staining and keep your veneers looking fresh. The better you care for them, the longer they’ll reward you with a bright, seamless smile.

Take a Step towards Your Best Smile

Whether you’re in your 20s looking to refine your look or in your 60s reclaiming it, cosmetic veneers offer a timeless solution. With precise planning and expert application, we transform your smile, enhancing its brightness, symmetry, and natural charm, while preserving the strength of your natural teeth.

If you’re considering dental veneers in Melbourne, Cosmetic Avenue brings you the expertise, care, and results that stand the test of time. Our team takes the time to understand your goals and guide you through every step with confidence. Reach out to us today and take the first step towards the smile you’ve always wanted.

Get in touch

This field is hidden when viewing the form
This field is hidden when viewing the form
This field is hidden when viewing the form
This field is hidden when viewing the form
50% OFF 1ST TREATMENT*
For new clients with their first package. Exclusions apply.
This is default text for notification bar